衛教資訊肩旋轉肌腱撕裂傷之成因與治療新知
次閱讀
肩膀疼痛是常見的骨骼肌肉疾病之一,肩膀疼痛的終生盛行率約達70%。
肩旋轉肌袖病變及肌腱斷裂是肩膀主要傷害原因,尤其在中老年族群更為常見,主要成因為年齡增長導致肌腱退化與組織弱化。相比之下,年輕族群多因外傷或運動過度使用而導致肩旋轉肌袖受損。肩膀結構的穩定性和靈活性依賴於肩旋轉肌袖的正常運作,一旦受傷會出現疼痛、無力或活動受限等症狀。
旋轉肌袖是包覆肩關節周圍的一組肌肉,包括 (1) 棘上肌、(2) 棘下肌、(3) 小圓肌、(4) 肩胛下肌,主要負責穩定肩關節並協助其活動。當旋轉肌袖的任何一條肌腱受傷或破裂時,即稱為旋轉肌袖破裂,其中最常受影響的是棘上肌。造成旋轉肌袖破裂的常見原因包括姿勢不良、運動傷害、創傷、發炎與退化、肩峰下夾擊症候群,以及需頻繁使用肩膀的工作等,這些因素都可能導致旋轉肌的慢性磨損。該疾病的進程通常從肌腱反覆發炎開始,進而鈣化與纖維化,最終在外力作用或劇烈活動下導致肌腱損傷。
旋轉肌病變的恢復時間會按照其嚴重程度,輕度肩旋轉肌破裂通常2-6週可恢復、中度會在3-6個月內康復。若以手術治療,術後仍須搭配復健治療以預防沾黏,恢復期需要半年至1年。
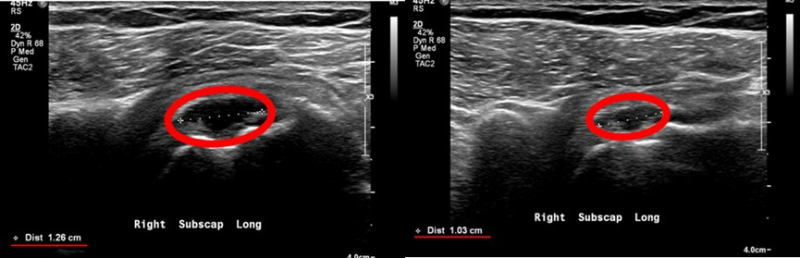
若肌腱撕裂傷口大於兩公分,醫師通常會考慮轉介至骨科進行縫合手術;但若撕裂約一公分,除了傳統的物理治療與復健外,也可以透過注射治療來修復軟組織。舉例來說,曾經有位68歲的阿嬤在照顧孫子時不慎被輕微拉扯,隨即感到右肩劇烈疼痛,並伴隨上臂無力。經新光醫院復健科陳文玲主任理學檢查及超音波檢查後,發現她的肩膀旋轉袖肌腱撕裂達1.26公分,而非手術最快治療的方式,為注射專利軟組織修復劑。在陳文玲主任的超音波導引下注射下,阿嬤接受完整的兩劑療程後,其症狀改善,且超音波影像顯示原本的肌腱破裂處已縮小。

肩旋轉肌破裂之損傷可藉由超音波影像診斷(圖片提供:新光醫院復健科陳文玲主任)
根據2020年Cipolletta等人的研究,針對患有肩旋轉袖肌腱部分或小型完全撕裂的患者,採用超音波導引注射專利軟組織修復劑,能有效減緩疼痛及提升肩關節功能。研究顯示在為期12週的觀察中,約63%的患者在治療後報告肩部功能明顯改善。2022年Santiago等人的個案報告指出,針對部分厚度撕裂的患者,藉由超音波導引注射專利軟組織修復劑後,可有效縮短肌腱修復時間,並在長期追蹤中觀察到損傷部位的縮小與功能恢復。這些研究一致證明,肩膀肌腱損傷以非手術治療策略,注射專利軟組織修復劑在臨床治療上展現一定成效,並且在疼痛緩解、組織修復及功能提升方面均有統計上顯著效果。
高雄榮民總醫院骨科部李宜軒醫師表示:「對於這類較小的撕裂傷,我們可以選擇超音波導引下注射專利軟組織修復劑,不僅能有效緩解疼痛,也能促進肌腱的修復。」這種療法能夠刺激身體的自然修復機制,有助於軟組織癒合,此外肩膀旋轉肌縫合手術後的軟組織疼痛也可以經由注射治療達到緩解。李醫師亦提醒,肩膀關節的結構複雜,治療前適當的影像診斷、精準的超音波引導注射治療同樣至關重要,以確保最佳的康復效果。

高雄市立小港醫院復健科主任陳俊凱醫師補充說:「急慢性軟組織受損後,若未經適當治療,容易反覆發炎並導致組織沾黏,進而影響肩關節的活動度。除了專利軟組織專用修復劑的注射治療外,病患若能持續配合復健治療,將有助於長期維持肩關節的靈活性與肌力。建議患者進行局部熱敷與肩關節肌肉群的強化訓練,以減少復發並避免沾黏。」
